Как выглядит рак шейки матки

Как выглядит рак шейки маткиНа сегодняшний день одним из наиболее распространенных «женских» заболеваний практически во всем мире считается рак шейки матки . Для данной опухоли характерны особые симптомы, которые должны насторожить каждую женщину, а также определенное лечение.

Рак является новообразованием, появление которого возможно, как правило, после 50 лет. Однако учитывая современное развитие медицины, лечится несложно, а диагностика возможна уже на самых ранних стадиях, когда опухоль еще не успевает разрастись.

Диагностика
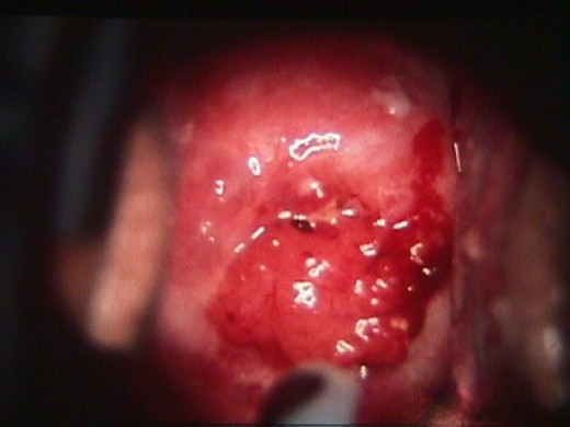
Существует два основных метода диагностики: ультразвуковой (УЗИ) и эндоскопический. В первом случае используют специальное оборудование, вводимое трансвагинально. Затем на монитор поступает изображение тканей. Так врачи смогут осмотреть другие органы малого таза, а также исключить возможность иных заболеваний. Зрительно опухоль представляет собой неоднородно структурированный нарост. В зависимости от стадии раковое образование способно меняться структурно, а также менять форму и распространяться на другие органы.

Лечится рак хирургическим методом, однако тип лечения может зависеть от стадии и типа новообразования. Поэтому важно знать основные симптомы, при появлении которых обязательно необходимо обратиться к гинекологу:
- вагинальное кровотечение после менопаузы;
- кровотечение между менструациями;
- чрезмерное выделение водянистого секрета;
- тянущая боль в области таза, усиливающаяся при половом акте.

Причины
Существует около 100 разновидностей определенного вируса – папилломавирус (ВПЧ), – при этом только 15 из них провоцируют возникновение злокачественных опухолей. Абсолютно у всех больных раком шейки матки женщин имеется данная инфекция, передающаяся половым путем от зараженных партнеров. Кроме этого, есть масса факторов, которые способны ускорить течение заболевания, а также снизить способность организма сопротивляться вирусу. Это частая смена партнеров, постоянные стрессы, курение, прием противозачаточных средств.